충치치료
건강한 치아를 위한
충치치료
치과 3대 질환 중 가장 흔한 것이 충치(치아우식증)입니다. 충치란 입안의 세균과 치아
표면의 음식물이 반응하여 생성되는 산에 의해 치아 법랑질부터 손상되는 현상을 말합니다.

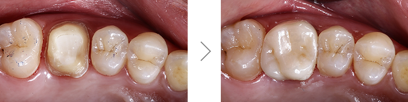
충치치료란?
충치 진행 단계에 맞는 정확한 치료로자연치아를 회복시키는 충치치료
충치치료는 초기에 하는 것이 중요합니다. 충치가 진행될수록 그에 따른 치료 과정에서의 통증, 비용, 시간이 함께 증가하므로 충치의 초기 발견과 초기 치료는 매우 중요합니다.
충치의 단계
충치는 깊어질수록 치료의 범위 또한 넓어집니다.
법랑질우식통증이 없음.정기 검진 및 치아관리를 통해 충치 진행을 거의 멈출 수 있는 단계.레진으로 치료 가능.
상아질우식찬것에 시리고, 단 맛에 예민함.심해지면 차고 뜨거운것에 불편함을 느끼며 음식물을 씹을 때 통증을 느낌.충치 부위를 삭제하고 삭제된 부위를 채워넣는 치료가 필요.
치수충치뜨거운 것에 통증을 느끼고 차가운 것에는 오히려 통증이 완화.아무런 자극이 없어도 통증이 나타남.신경치료후 크라운으로 씌워주는 치료가 필요.
치수괴사예민성 검사에 반응X.심한 통증을 느낌.치아 뿌리끝에 병소가 나타나는 경우 신경치료 후 크라운을 씌우거나 심할 경우 발치 필요.
충치치료의 치료시기의 중요성
충치는 스스로 회복되지 않아
빠르고, 적절한 치료가 필요합니다.
가장 흔한 질환인 충치는 절대 스스로 회복되지가 않습니다. 많은사람들이 치아에
통증이 있더라도 치과 치료를 미루는 경우가 많은데, 치료 시기를 놓치게 되면 나중에는
더많은 비용과 치료 기간이 발생합니다. 따라서 정기적인 구강검진을 통해 조기에
문제점을 발견하고 작은 충치라도 조기에 치료를 받는 것이 중요합니다.
충치의 재료
충치 진행 단계 따른 충치치료 재료가 달라집니다.
레진충치부위가 크지 않을때 많이 사용레진은 치아 삭제량이 적고 자연치아와 색상이 거의 비슷해 자연스러우며 심미성이 뛰어납니다.
금 인레이금 인레이는 충치 범위가 넓거나 씹는 힘이 강한 어금니에 사용금은 강도가 강해서 깨지지 않고 변색이 되지 않아 충치치료로 많이 쓰입니다.
세라믹 인레이도자기로 더 단단하게 만들었습니다.
자연치아와 동일한 색상과 강도를 가지는 심미충치치료이며 치료후 만족감이 뛰어납니다.
크라운많은 양의 치아삭제, 신경치료 후에는 치아 머리모양의 수복물을 씌워줍니다.
도자기, 금, 지르코니아 등의 종류가 있습니다.

